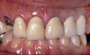
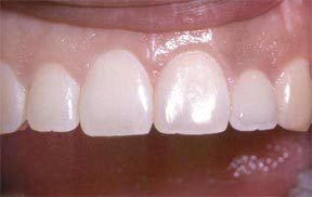
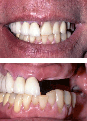
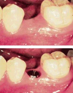
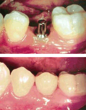
Check Out Our Past Before & After Dental Work!
At Marshall Dental Care of Victor, we take pride in the comprehensive dental services we provide to patients of all ages. Whether you’re visiting for routine teeth cleaning or require more advanced care, such as an oral cancer screening, root canal therapy, wisdom teeth removal, or emergency dentistry, our dedicated team ensures every patient receives personalized attention and top-quality treatment. We understand the importance of maintaining healthy, beautiful smiles and are here to help with all your dental needs.
In addition to general dentistry, we offer specialized services like adult orthodontics for those seeking straighter teeth and improved alignment at any age. If you’re looking to brighten your smile, our teeth whitening treatments can help restore your teeth’s natural brilliance. For younger patients, our pediatric dentist provides gentle, friendly care to set the foundation for a lifetime of healthy oral habits.
Browse images of our past work below to see the results our patients have achieved, then contact our office to schedule your appointment! We proudly provide dental care to patients throughout Victor, Mendon, Honeoye Falls, Macedon, Bloomfield, Canandaigua, Farmington, Fairport, Pittsford, NY, and the surrounding areas. We look forward to welcoming you to our practice and helping you achieve a healthy, confident smile.
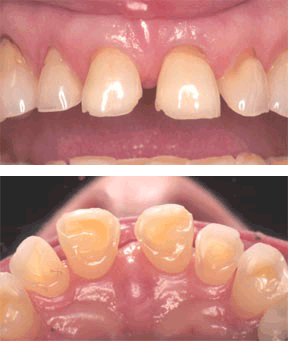
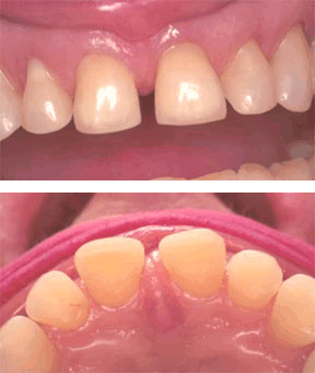
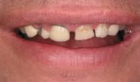
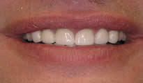
Bonding Gallery
Bonding is a process used to restore chipped, discolored, and misshapen teeth in a single visit. The results are very natural in appearance, but bonding does take more maintenance than porcelain veneers and may not last as long. Less tooth structure needs to be removed, which makes bonding a more conservative choice for some cases.





































